Puni cirkon
Prije Poslije
Most na 6 implatanata – Metal keramika
Korak 1. Korak 2. Korak 3. Korak 4.
Metal keramika 2
Prije Poslije
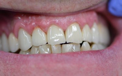
Metal keramika
Prije Poslije
ALL On 4
Prije Poslije
Cirkon keramika
Prije Poslije
Prije Poslije
Korak 1. Korak 2. Korak 3. Korak 4.
Prije Poslije
Prije Poslije
Prije Poslije
Prije Poslije